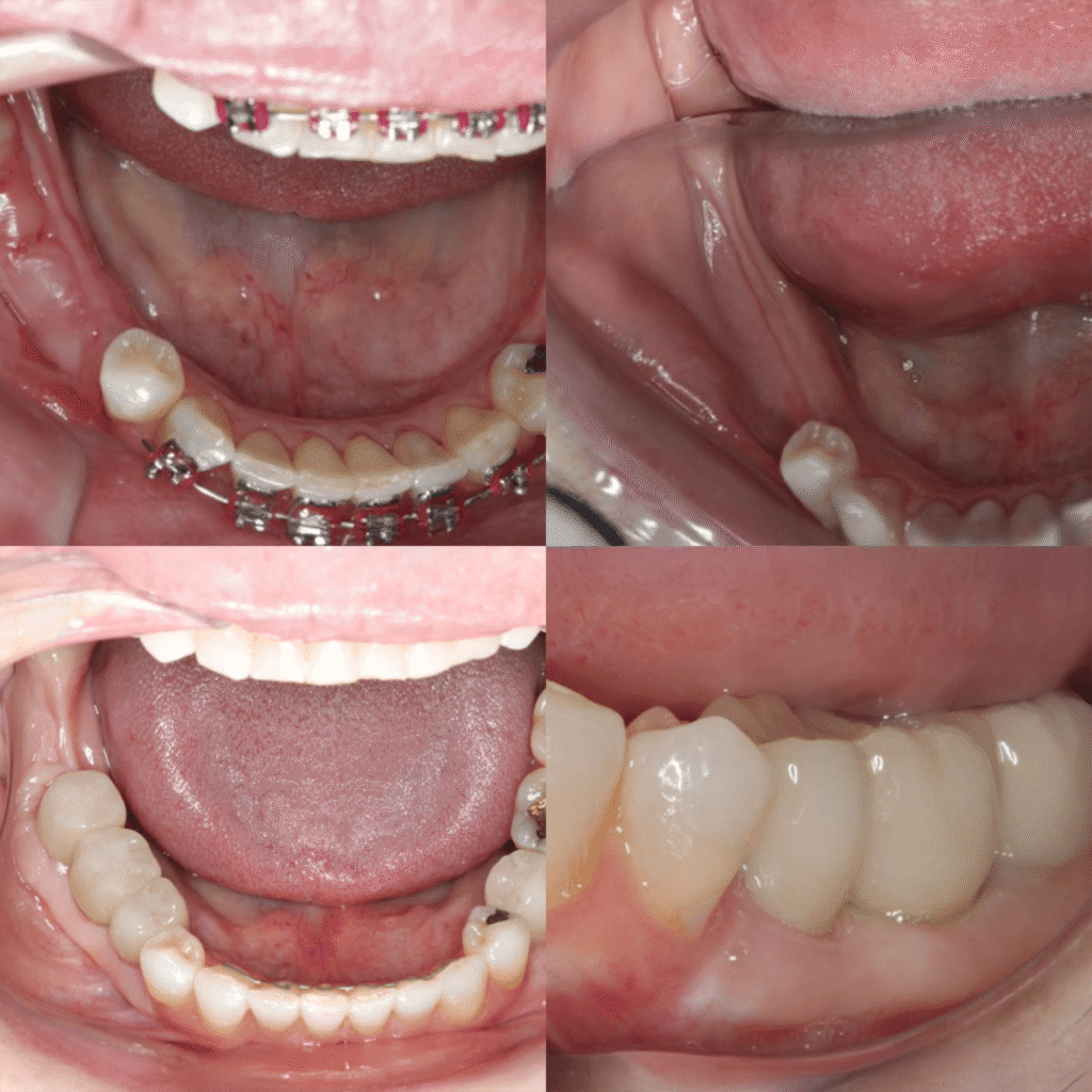
TRATAMENTOS
REABILITAÇÃO ORAL
Transforme seu sorriso com saúde e confiança
A reabilitação oral é a solução completa para quem busca recuperar a função, estética e saúde do sorriso. Por meio de um planejamento personalizado, combinamos técnicas modernas como implantes, próteses, restaurações e ortodontia para devolver a harmonia à sua boca. Seja para corrigir dentes ausentes, desgastados ou problemas de mordida, nossa equipe está pronta para criar um plano sob medida para você.
• Por que escolher a reabilitação oral?
– Restaura a capacidade de mastigar e falar com conforto.
– Melhora a estética do sorriso, elevando sua autoestima.
– Oferece soluções duradouras com materiais de alta qualidade.
– Promove a saúde bucal, prevenindo problemas futuros.
REABILITAÇÃO ORAL
• Reabilitação oral é uma área da odontologia que se dedica à restauração e recuperação da função, estética e saúde da boca de forma integrada.
• Ela envolve um conjunto de procedimentos para tratar problemas como dentes danificados, ausentes, desgastados ou mal posicionados, além de questões relacionadas à mordida, gengivas e ossos de suporte.
• O objetivo é devolver ao paciente um sorriso funcional, esteticamente agradável e saudável, melhorando a qualidade de vida
O QUE ENVOLVE A REABILITAÇÃO ORAL?
• A reabilitação oral é um tratamento multidisciplinar, que pode incluir:
• Restaurações dentárias: Como obturações, coroas ou facetas para reparar dentes danificados ou melhorar a aparência.
• Implantes dentários: Para substituir dentes ausentes, devolvendo a função mastigatória e estética.
• Próteses dentárias: Fixas ou removíveis, para repor um ou mais dentes.
• Ortodontia: Correção do alinhamento dos dentes e da mordida, muitas vezes com aparelhos ortodônticos.
• Periodontia: Tratamento de doenças gengivais que afetam a sustentação dos dentes.
• Endodontia: Tratamento de canal para salvar dentes comprometidos.
• Cirurgias orais: Como enxertos ósseos ou correções de anomalias.
• Estética dental: Clareamento, facetas ou outros procedimentos para harmonizar o sorriso.
QUANDO É INDICADA?
• A reabilitação oral é recomendada para pacientes com:
• Perda de um ou mais dentes.
• Dentes desgastados, fraturados ou com restaurações antigas comprometidas.
• Problemas de mordida (como mordida cruzada ou aberta).
• Estética dental insatisfatória.
• Doenças gengivais ou ósseas que afetam a estabilidade dos dentes.
• Dificuldade para mastigar ou falar devido a problemas bucais.
• Por que escolher a reabilitação oral?
– Restaura a capacidade de mastigar e falar com conforto.
– Melhora a estética do sorriso, elevando sua autoestima.
– Oferece soluções duradouras com materiais de alta qualidade.
– Promove a saúde bucal, prevenindo problemas futuros.
REABILITAÇÃO ORAL
• Reabilitação oral é uma área da odontologia que se dedica à restauração e recuperação da função, estética e saúde da boca de forma integrada.
• Ela envolve um conjunto de procedimentos para tratar problemas como dentes danificados, ausentes, desgastados ou mal posicionados, além de questões relacionadas à mordida, gengivas e ossos de suporte.
• O objetivo é devolver ao paciente um sorriso funcional, esteticamente agradável e saudável, melhorando a qualidade de vida
O QUE ENVOLVE A REABILITAÇÃO ORAL?
• A reabilitação oral é um tratamento multidisciplinar, que pode incluir:
• Restaurações dentárias: Como obturações, coroas ou facetas para reparar dentes danificados ou melhorar a aparência.
• Implantes dentários: Para substituir dentes ausentes, devolvendo a função mastigatória e estética.
• Próteses dentárias: Fixas ou removíveis, para repor um ou mais dentes.
• Ortodontia: Correção do alinhamento dos dentes e da mordida, muitas vezes com aparelhos ortodônticos.
• Periodontia: Tratamento de doenças gengivais que afetam a sustentação dos dentes.
• Endodontia: Tratamento de canal para salvar dentes comprometidos.
• Cirurgias orais: Como enxertos ósseos ou correções de anomalias.
• Estética dental: Clareamento, facetas ou outros procedimentos para harmonizar o sorriso.
QUANDO É INDICADA?
• A reabilitação oral é recomendada para pacientes com:
• Perda de um ou mais dentes.
• Dentes desgastados, fraturados ou com restaurações antigas comprometidas.
• Problemas de mordida (como mordida cruzada ou aberta).
• Estética dental insatisfatória.
• Doenças gengivais ou ósseas que afetam a estabilidade dos dentes.
• Dificuldade para mastigar ou falar devido a problemas bucais.
IMPLANTES DENTÁRIOS
A solução para um sorriso completo
Na Paiano Odontologia, acreditamos que um sorriso saudável transforma vidas. Nossos implantes dentários são projetados para oferecer:
• Saúde: Integração perfeita com sua boca, promovendo bem-estar.
• Estética: Um sorriso natural que reflete sua personalidade.
• Função: Conforto para mastigar e falar sem limitações.
• Com tecnologia digital avançada, como guias cirúrgicos e escaneamento 3D, garantimos precisão, conforto e resultados duradouros. Nosso processo é simples e personalizado, desde a avaliação inicial até a finalização com coroas cerâmicas de alta qualidade.
COMO É FEITO?
Preciso. Minimamente invasivo. Recuperação otimizada. O implante é posicionado com o auxílio de um guia cirúrgico personalizado, projetado digitalmente e impresso em 3D para o seu caso específico. Essa abordagem garante maior precisão, reduz a invasividade e assegura um alinhamento perfeito com a restauração final. O resultado? Uma cicatrização mais rápida, confortável e previsível.
• Saúde: Integração perfeita com sua boca, promovendo bem-estar.
• Estética: Um sorriso natural que reflete sua personalidade.
• Função: Conforto para mastigar e falar sem limitações.
• Com tecnologia digital avançada, como guias cirúrgicos e escaneamento 3D, garantimos precisão, conforto e resultados duradouros. Nosso processo é simples e personalizado, desde a avaliação inicial até a finalização com coroas cerâmicas de alta qualidade.
COMO É FEITO?
Preciso. Minimamente invasivo. Recuperação otimizada. O implante é posicionado com o auxílio de um guia cirúrgico personalizado, projetado digitalmente e impresso em 3D para o seu caso específico. Essa abordagem garante maior precisão, reduz a invasividade e assegura um alinhamento perfeito com a restauração final. O resultado? Uma cicatrização mais rápida, confortável e previsível.
ENXERTO DE GENGIVA OU DE OSSO?
Construindo a Base para Resultados Duradouros
Para garantir um visual natural e estabilidade a longo prazo, muitas vezes precisamos lançar mão de utilizar enxertos ósseos ou de tecido mole (gengiva) durante o processo de implante. Essas etapas compõem a área onde o dente foi perdido, compensam a retração natural após a extração e proporcionam o suporte ideal para o implante e a restauração futura.
Não é um procedimento excepcional — é uma etapa fundamental para assegurar um resultado natural e duradouro.
Não é um procedimento excepcional — é uma etapa fundamental para assegurar um resultado natural e duradouro.
TEM MEDO OU ANSIEDADE POR CAUSA DA CIRURGIA?
Na Paiano Odontologia, priorizamos seu bem-estar com soluções de conforto e controle adaptadas às suas necessidades. Utilizando equipamentos modernos e monitoramento clínico completo, oferecemos sedação consciente — uma técnica segura que permite relaxar profundamente durante o procedimento, e em muitos casos, até dormir. Essa abordagem transforma experiências ansiosas em momentos tranquilos e indolor, incentivando pacientes com medo do dentista a recuperarem a confiança no sorriso. Com precisão e cuidado, garantimos que cada etapa seja confortável, alinhada aos nossos pilares de Saúde, Estética e Função.
IMPLANTES PERFEITOS.
DO INÍCIO AO RESULTADO FINAL
Cuidado integrado, projetado para você.
Na Paiano Odontologia, transformamos o tratamento de implantes em uma experiência única e contínua. Planejamento cirúrgico, design da prótese e trabalho laboratorial são harmonizados por uma equipe unida por uma visão compartilhada, do primeiro passo ao sorriso final. Com tecnologia de ponta em nossa clínica, parcerias sólidas e anos de expertise interdisciplinar, entregamos resultados consistentes que unem funcionalidade impecável a uma estética que celebra sua individualidade.
Na Paiano Odontologia, transformamos o tratamento de implantes em uma experiência única e contínua. Planejamento cirúrgico, design da prótese e trabalho laboratorial são harmonizados por uma equipe unida por uma visão compartilhada, do primeiro passo ao sorriso final. Com tecnologia de ponta em nossa clínica, parcerias sólidas e anos de expertise interdisciplinar, entregamos resultados consistentes que unem funcionalidade impecável a uma estética que celebra sua individualidade.
Implantes Dentários
PERGUNTAS FREQUENTES
Na Paiano Odontologia, queremos que você se sinta seguro e informado sobre os implantes dentários. Confira as respostas para as perguntas mais comuns e descubra como podemos transformar seu sorriso com saúde, estética e funcionalidade.
O que é um implante dentário?
Um pino de titânio que substitui a raiz do dente, servindo de base para uma coroa ou prótese (fixa ou removível).
• É um procedimento seguro?
Sim, utilizamos técnicas minimamente invasivas e materiais certificados para garantir segurança e conforto.
• O procedimento de implante dentário é doloroso?
Realizado com anestesia local, o procedimento é confortável e bem tolerado. Para pacientes que sentem ansiedade ou desejam maior relaxamento, oferecemos sedação consciente, permitindo que você relaxe profundamente — e, em muitos casos, até durma durante o tratamento. Nossos pacientes frequentemente descrevem a experiência como surpreendentemente tranquila e indolor, graças às nossas técnicas minimamente invasivas e tecnologia avançada.
• Quanto tempo leva para concluir o tratamento com implantes? O tempo varia conforme a complexidade do caso. Casos simples podem ser finalizados em cerca de 3 a 4 meses, enquanto casos mais complexos, como os que envolvem enxertos ósseos, podem levar de 6 a 8 meses. Na sua consulta inicial, usamos escaneamento 3D e planejamento digital para criar um cronograma personalizado, explicando cada etapa com clareza para que você saiba exatamente o que esperar.
• É possível ter um dente logo após a colocação do implante?
• Sim, em casos selecionados, oferecemos a carga imediata, que permite colocar uma coroa provisória logo após o implante, garantindo estética desde o primeiro dia. No entanto, se a estabilidade óssea ou a cicatrização dos tecidos exigir mais tempo, recomendamos uma abordagem em etapas para assegurar resultados duradouros e naturais. Nosso foco é a previsibilidade a longo prazo, com um sorriso que combina perfeitamente com você.
• O que fazer se eu tiver perdido osso na região do implante?
A perda óssea é comum após a extração de um dente, mas não é um obstáculo. Utilizamos técnicas avançadas de enxerto ósseo para reconstruir a estrutura necessária, garantindo uma base sólida para o implante. Com planejamento digital e materiais de alta qualidade, criamos resultados que se integram naturalmente à sua boca, promovendo saúde e estética.
Qual é a durabilidade de um implante dentário?
Com planejamento preciso, colocação guiada por tecnologia digital e cuidados adequados, os implantes podem durar décadas — muitas vezes, a vida toda. O sucesso depende de fatores como higiene bucal, saúde geral e a expertise da nossa equipe. Ensinamos você a manter seus implantes em perfeitas condições, com orientações claras para uma saúde bucal duradoura.
• Quanto custa um implante dentário?
O custo depende de fatores como a complexidade do caso, o tipo de coroa (cerâmica ou outro material) e eventuais procedimentos adicionais, como enxertos. Após uma avaliação completa, incluindo exames de imagem 3D, fornecemos um plano de tratamento detalhado e transparente, personalizado para suas necessidades. Nada de estimativas genéricas — você terá clareza total sobre o investimento no seu sorriso.
Quem realiza o procedimento e a finalização do implante?
Na Paiano Odontologia, cada caso é conduzido por uma equipe especializada, liderada pelo Dr. Diego Paiano. Contamos com profissionais experientes em cirurgia, próteses e design laboratorial, selecionados conforme as necessidades do seu tratamento. Usamos tecnologias como guias cirúrgicos digitais para garantir precisão em cada etapa, oferecendo resultados que unem saúde, estética e funcionalidade.
• Pronto para transformar seu sorriso?
Agende sua avaliação gratuita na Paiano Odontologia e descubra como os implantes dentários podem devolver sua confiança com um sorriso natural e duradouro!
O que é um implante dentário?
Um pino de titânio que substitui a raiz do dente, servindo de base para uma coroa ou prótese (fixa ou removível).
• É um procedimento seguro?
Sim, utilizamos técnicas minimamente invasivas e materiais certificados para garantir segurança e conforto.
• O procedimento de implante dentário é doloroso?
Realizado com anestesia local, o procedimento é confortável e bem tolerado. Para pacientes que sentem ansiedade ou desejam maior relaxamento, oferecemos sedação consciente, permitindo que você relaxe profundamente — e, em muitos casos, até durma durante o tratamento. Nossos pacientes frequentemente descrevem a experiência como surpreendentemente tranquila e indolor, graças às nossas técnicas minimamente invasivas e tecnologia avançada.
• Quanto tempo leva para concluir o tratamento com implantes? O tempo varia conforme a complexidade do caso. Casos simples podem ser finalizados em cerca de 3 a 4 meses, enquanto casos mais complexos, como os que envolvem enxertos ósseos, podem levar de 6 a 8 meses. Na sua consulta inicial, usamos escaneamento 3D e planejamento digital para criar um cronograma personalizado, explicando cada etapa com clareza para que você saiba exatamente o que esperar.
• É possível ter um dente logo após a colocação do implante?
• Sim, em casos selecionados, oferecemos a carga imediata, que permite colocar uma coroa provisória logo após o implante, garantindo estética desde o primeiro dia. No entanto, se a estabilidade óssea ou a cicatrização dos tecidos exigir mais tempo, recomendamos uma abordagem em etapas para assegurar resultados duradouros e naturais. Nosso foco é a previsibilidade a longo prazo, com um sorriso que combina perfeitamente com você.
• O que fazer se eu tiver perdido osso na região do implante?
A perda óssea é comum após a extração de um dente, mas não é um obstáculo. Utilizamos técnicas avançadas de enxerto ósseo para reconstruir a estrutura necessária, garantindo uma base sólida para o implante. Com planejamento digital e materiais de alta qualidade, criamos resultados que se integram naturalmente à sua boca, promovendo saúde e estética.
Qual é a durabilidade de um implante dentário?
Com planejamento preciso, colocação guiada por tecnologia digital e cuidados adequados, os implantes podem durar décadas — muitas vezes, a vida toda. O sucesso depende de fatores como higiene bucal, saúde geral e a expertise da nossa equipe. Ensinamos você a manter seus implantes em perfeitas condições, com orientações claras para uma saúde bucal duradoura.
• Quanto custa um implante dentário?
O custo depende de fatores como a complexidade do caso, o tipo de coroa (cerâmica ou outro material) e eventuais procedimentos adicionais, como enxertos. Após uma avaliação completa, incluindo exames de imagem 3D, fornecemos um plano de tratamento detalhado e transparente, personalizado para suas necessidades. Nada de estimativas genéricas — você terá clareza total sobre o investimento no seu sorriso.
Quem realiza o procedimento e a finalização do implante?
Na Paiano Odontologia, cada caso é conduzido por uma equipe especializada, liderada pelo Dr. Diego Paiano. Contamos com profissionais experientes em cirurgia, próteses e design laboratorial, selecionados conforme as necessidades do seu tratamento. Usamos tecnologias como guias cirúrgicos digitais para garantir precisão em cada etapa, oferecendo resultados que unem saúde, estética e funcionalidade.
• Pronto para transformar seu sorriso?
Agende sua avaliação gratuita na Paiano Odontologia e descubra como os implantes dentários podem devolver sua confiança com um sorriso natural e duradouro!
FACETAS OU LENTES DE CONTATO
As facetas dentárias transformam sorrisos de forma sutil e elegante, sem procedimentos invasivos. Na Paiano Odontologia, cada caso começa com um planejamento cuidadoso — não com desgastes. Utilizamos um planejamento orientado pela harmonia facial para criar um sorriso que valoriza sua identidade e realça seus traços naturais.
Planejamento Estético Personalizado
O design guia cada passo.
Antes de qualquer intervenção, criamos um plano digital detalhado. Usamos fotos, escaneamentos 3D e referências faciais para visualizar seu novo sorriso. Juntos, avaliamos o resultado em um protótipo (mock-up) que orienta todas as etapas do tratamento.
Facetas com Mínima ou Nenhuma Preparação
Preservar é nosso compromisso.
Após a aprovação do sorriso, confeccionamos as facetas cerâmicas com ajustes mínimos nos dentes naturais, preservando o esmalte e a estrutura dentária. Em casos selecionados, as facetas podem ser feitas sem qualquer desgaste, mantendo seus dentes intactos.
PROVA E FIXAÇÃO FINAL
Perfeição nos detalhes.
Antes da fixação definitiva, você experimenta as facetas, avaliando forma, cor e integração com seu sorriso em luz natural e diferentes cenários. Após sua aprovação, realizamos a colagem permanente, garantindo um resultado natural e harmonioso. Realizamos essa colagem utilizando isolamento absoluto, garantindo uma maior longevidade e cuidado com todo o processo.
Um Sorriso Único e Autêntico
Naturalidade que reflete você.
Na Paiano Odontologia, acreditamos que seu sorriso deve ser a expressão de sua personalidade. Nada de modelos padronizados — criamos restaurações que respeitam suas proporções, expressões e traços únicos. O resultado é um sorriso que parece natural, nunca artificial.
VISUALIZAÇÃO PRÉVIA DO RESULTADO
Clareza antes de começar.
Você verá seu futuro sorriso antes de qualquer procedimento. Em casos de adição, aplicamos um protótipo físico diretamente na boca para que você sinta o resultado. Em casos que exigem ajustes, usamos simulações digitais com vídeos gerados por IA, mostrando o antes e depois. Assim, você toma sua decisão com total confiança.
PRODUÇÃO EM NOSSO LABORATÓRIO
Design e precisão em um só lugar
As próteses em resina e porcelana são produzidas em nosso laboratório interno, garantindo perfeita integração entre o planejamento e o resultado final. Essa conexão direta elimina erros e assegura que o produto final seja fiel ao design original, garantindo toda a qualidade que você merece, além de podermos aumentar a agilidade na entrega do tratamento.
BELEZA QUE DURA
Estética aliada à durabilidade.
Nossas facetas são projetadas para ir além da beleza imediata. Elas se integram aos tecidos gengivais, envelhecem naturalmente e oferecem desempenho confiável por anos. Cada detalhe — margens, perfil de emergência e pontos de contato — é verificado para garantir um resultado esteticamente perfeito e biologicamente saudável.
FACETAS DENTÁRIAS:
PERGUNTAS FREQUENTES
O que são facetas dentárias?
Facetas são finas camadas de cerâmica aplicadas na frente dos dentes para melhorar sua aparência, ajustando forma, cor, alinhamento ou proporções, sem procedimentos invasivos.
As facetas são permanentes?
Sim. Após a colagem, as facetas são uma solução de longo prazo. Com os cuidados adequados, podem durar de 10 a 20 anos ou até mais.
As facetas danificam os dentes naturais?
Não. Na maioria dos casos, usamos técnicas de preparo mínimo ou sem preparo, preservando o esmalte e a estrutura natural dos dentes.
O resultado parece natural?
Sim. Cada caso é planejado com base em referências faciais e estética personalizada, garantindo um sorriso que se integra perfeitamente ao seu rosto, sem parecer artificial.
E se uma faceta quebrar?
Guardamos um registro digital de cada caso, permitindo que uma faceta danificada seja refeita com precisão, sem necessidade de replanejar todo o sorriso.
Qual é o custo das facetas?
O valor varia conforme o número de facetas, a complexidade do caso e os materiais utilizados. Após uma avaliação clínica completa, oferecemos um plano personalizado para você, sem valores genéricos.
Quando é possível usar facetas sem preparo?
Facetas sem preparo são ideais quando os dentes estão bem posicionados, sem grandes descolorações ou problemas estruturais. São usadas em casos de adição de volume ou comprimento. Para ajustes significativos de forma ou alinhamento, facetas com preparo mínimo podem ser recomendadas para equilibrar estética e funcionalidade.
Facetas são finas camadas de cerâmica aplicadas na frente dos dentes para melhorar sua aparência, ajustando forma, cor, alinhamento ou proporções, sem procedimentos invasivos.
As facetas são permanentes?
Sim. Após a colagem, as facetas são uma solução de longo prazo. Com os cuidados adequados, podem durar de 10 a 20 anos ou até mais.
As facetas danificam os dentes naturais?
Não. Na maioria dos casos, usamos técnicas de preparo mínimo ou sem preparo, preservando o esmalte e a estrutura natural dos dentes.
O resultado parece natural?
Sim. Cada caso é planejado com base em referências faciais e estética personalizada, garantindo um sorriso que se integra perfeitamente ao seu rosto, sem parecer artificial.
E se uma faceta quebrar?
Guardamos um registro digital de cada caso, permitindo que uma faceta danificada seja refeita com precisão, sem necessidade de replanejar todo o sorriso.
Qual é o custo das facetas?
O valor varia conforme o número de facetas, a complexidade do caso e os materiais utilizados. Após uma avaliação clínica completa, oferecemos um plano personalizado para você, sem valores genéricos.
Quando é possível usar facetas sem preparo?
Facetas sem preparo são ideais quando os dentes estão bem posicionados, sem grandes descolorações ou problemas estruturais. São usadas em casos de adição de volume ou comprimento. Para ajustes significativos de forma ou alinhamento, facetas com preparo mínimo podem ser recomendadas para equilibrar estética e funcionalidade.
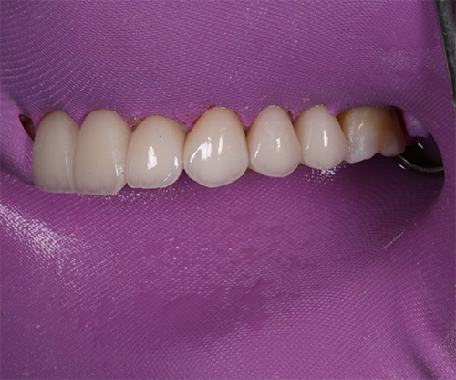
COROAS DENTÁRIAS
Restaure seu Sorriso com Naturalidade e Durabilidade
Na Paiano Odontologia, nossas coroas dentárias são projetadas para devolver a saúde, a estética e a funcionalidade ao seu sorriso. Mais do que simples restaurações, elas são soluções personalizadas, criadas com tecnologia de ponta e inspiradas na nossa filosofia valorizando a autenticidade e a individualidade de cada paciente. Usamos cerâmicas de alta qualidade e planejamento digital para garantir resultados que parecem e funcionam como dentes naturais, com o mínimo de intervenção e a máxima durabilidade.
Como funciona o processo?
1. Preparo cuidadoso do dente
Priorizamos a preservação da estrutura natural do dente, removendo apenas o necessário. Cada preparo é guiado por um planejamento digital detalhado, que considera o design final para assegurar saúde, estética e funcionalidade.
2. Design digital personalizado
Antes de iniciar, criamos um projeto único com escaneamento 3D e referências faciais, definindo a forma, o volume e a posição ideais da coroa. Essa pré-visualização nos permite escolher os melhores materiais e garantir um resultado que harmoniza com seu sorriso.
3. Fabricação e ajuste final
Nossas coroas são cuidadosamente fabricadas em laboratório, com controle total em cada etapa. Após a produção, realizamos testes de ajuste, conforto e integração estética, fazendo pequenos ajustes em tempo real para entregar um sorriso perfeito para você.
Nossa filosofia: Autenticidade em cada sorriso
Na Paiano Odontologia, não buscamos perfeição artificial. Inspirados pela nossa abordagem natural, usamos formas naturais de dentes, selecionadas de uma biblioteca biométrica, para criar coroas que refletem sua personalidade. Cada restauração é projetada para se integrar biologicamente à sua boca, envelhecer naturalmente e manter a saúde bucal por anos.
Tecnologia e cuidado em cada detalhe
Com equipamentos modernos, como escaneamento intraoral e planejamento digital, garantimos precisão e conforto. Nossa equipe, liderada pelo Dr. Diego Paiano, trabalha de forma integrada para oferecer um fluxo de tratamento contínuo, desde o design até a finalização, com resultados consistentes e confiáveis.
Coroas que duram, sorrisos que encantam
Nossas coroas não apenas transformam seu sorriso no primeiro dia — elas são projetadas para se integrar aos tecidos da boca, resistir ao tempo e manter a funcionalidade. Testamos cada detalhe, como margens e pontos de contato, para assegurar uma restauração que é bela e saudável a longo prazo.
Como funciona o processo?
1. Preparo cuidadoso do dente
Priorizamos a preservação da estrutura natural do dente, removendo apenas o necessário. Cada preparo é guiado por um planejamento digital detalhado, que considera o design final para assegurar saúde, estética e funcionalidade.
2. Design digital personalizado
Antes de iniciar, criamos um projeto único com escaneamento 3D e referências faciais, definindo a forma, o volume e a posição ideais da coroa. Essa pré-visualização nos permite escolher os melhores materiais e garantir um resultado que harmoniza com seu sorriso.
3. Fabricação e ajuste final
Nossas coroas são cuidadosamente fabricadas em laboratório, com controle total em cada etapa. Após a produção, realizamos testes de ajuste, conforto e integração estética, fazendo pequenos ajustes em tempo real para entregar um sorriso perfeito para você.
Nossa filosofia: Autenticidade em cada sorriso
Na Paiano Odontologia, não buscamos perfeição artificial. Inspirados pela nossa abordagem natural, usamos formas naturais de dentes, selecionadas de uma biblioteca biométrica, para criar coroas que refletem sua personalidade. Cada restauração é projetada para se integrar biologicamente à sua boca, envelhecer naturalmente e manter a saúde bucal por anos.
Tecnologia e cuidado em cada detalhe
Com equipamentos modernos, como escaneamento intraoral e planejamento digital, garantimos precisão e conforto. Nossa equipe, liderada pelo Dr. Diego Paiano, trabalha de forma integrada para oferecer um fluxo de tratamento contínuo, desde o design até a finalização, com resultados consistentes e confiáveis.
Coroas que duram, sorrisos que encantam
Nossas coroas não apenas transformam seu sorriso no primeiro dia — elas são projetadas para se integrar aos tecidos da boca, resistir ao tempo e manter a funcionalidade. Testamos cada detalhe, como margens e pontos de contato, para assegurar uma restauração que é bela e saudável a longo prazo.
Coroas Dentárias
PERGUNTAS FREQUENTES
Qual é a diferença entre uma coroa e uma faceta?
Uma coroa cobre todo o dente, oferecendo suporte completo, enquanto uma faceta cobre apenas a frente. Na Paiano Odontologia, escolhemos a melhor solução com base na saúde do seu dente e no design do seu sorriso, sempre com foco em naturalidade.
Quanto tempo dura uma coroa dentária?
Com cuidados adequados, nossas coroas podem durar de 10 a 20 anos ou mais. A longevidade depende da qualidade do material, da precisão do planejamento digital e da sua higiene bucal, que orientamos para garantir resultados duradouros.
Minha coroa terá aparência natural?
Sim! Personalizamos cada coroa para combinar com a cor, forma e dinâmica do seu sorriso. Usamos design guiado por tecnologia 3D e cerâmicas de alta qualidade para criar restaurações que se integram perfeitamente ao seu sorriso.
O procedimento é doloroso?
Não. Realizamos o procedimento sob anestesia local, e, para maior conforto, oferecemos sedação consciente, permitindo que você relaxe profundamente. Nossos pacientes relatam uma experiência tranquila e praticamente indolor.
Quais materiais usamos para coroas?
Utilizamos cerâmicas avançadas, como zircônia e dissilicato de lítio, e também feldspática reforçada por leucita, escolhidas conforme a localização da coroa, suas necessidades estéticas e funcionais. Cada material é selecionado para garantir durabilidade e beleza natural.
Posso colocar uma coroa após um tratamento de canal?
Sim, coroas são frequentemente recomendadas após um tratamento de canal, principalmente nos casos onde se perdeu muita estrutura dentária. Dessa forma protegendo o dente enfraquecido e restaurando sua função e estética. Planejamos cada caso com precisão para resultados ideais.
Qual é o custo de uma coroa dentária?
O valor varia conforme a complexidade do caso, o material escolhido e o plano de tratamento. Após uma avaliação detalhada com exames 3D, fornecemos um orçamento claro e personalizado, sem estimativas genéricas.
Agende sua consulta gratuita na Paiano Odontologia e descubra como uma coroa dentária pode transformar seu sorriso com saúde e naturalidade!
Uma coroa cobre todo o dente, oferecendo suporte completo, enquanto uma faceta cobre apenas a frente. Na Paiano Odontologia, escolhemos a melhor solução com base na saúde do seu dente e no design do seu sorriso, sempre com foco em naturalidade.
Quanto tempo dura uma coroa dentária?
Com cuidados adequados, nossas coroas podem durar de 10 a 20 anos ou mais. A longevidade depende da qualidade do material, da precisão do planejamento digital e da sua higiene bucal, que orientamos para garantir resultados duradouros.
Minha coroa terá aparência natural?
Sim! Personalizamos cada coroa para combinar com a cor, forma e dinâmica do seu sorriso. Usamos design guiado por tecnologia 3D e cerâmicas de alta qualidade para criar restaurações que se integram perfeitamente ao seu sorriso.
O procedimento é doloroso?
Não. Realizamos o procedimento sob anestesia local, e, para maior conforto, oferecemos sedação consciente, permitindo que você relaxe profundamente. Nossos pacientes relatam uma experiência tranquila e praticamente indolor.
Quais materiais usamos para coroas?
Utilizamos cerâmicas avançadas, como zircônia e dissilicato de lítio, e também feldspática reforçada por leucita, escolhidas conforme a localização da coroa, suas necessidades estéticas e funcionais. Cada material é selecionado para garantir durabilidade e beleza natural.
Posso colocar uma coroa após um tratamento de canal?
Sim, coroas são frequentemente recomendadas após um tratamento de canal, principalmente nos casos onde se perdeu muita estrutura dentária. Dessa forma protegendo o dente enfraquecido e restaurando sua função e estética. Planejamos cada caso com precisão para resultados ideais.
Qual é o custo de uma coroa dentária?
O valor varia conforme a complexidade do caso, o material escolhido e o plano de tratamento. Após uma avaliação detalhada com exames 3D, fornecemos um orçamento claro e personalizado, sem estimativas genéricas.
Agende sua consulta gratuita na Paiano Odontologia e descubra como uma coroa dentária pode transformar seu sorriso com saúde e naturalidade!
ENDODONTIA
TRATAMENTO DE CANAL
Restaure seu Sorriso com Naturalidade e Durabilidade
O tratamento de canal não se resume apenas a eliminar uma infecção — ele é sobre salvar o dente e criar uma base sólida para sua saúde bucal a longo prazo. Na Paiano Odontologia, abordamos cada caso com uma visão estratégica, integrando o tratamento endodôntico a um plano completo de restauração.
1 – Diagnóstico Preciso e Avaliação Digital Entendendo o quadro completo.
Iniciamos com um diagnóstico detalhado, utilizando imagens de alta resolução, tomografia computadorizada (CBCT) e testes de vitalidade. Esses recursos nos permitem confirmar a necessidade do tratamento de canal e avaliar a condição do dente, tanto em sua estrutura quanto em relação aos tratamentos adjacentes.
2 – Limpeza, Modelagem e Desinfecção
Minimamente invasivo. Completamente eficaz.
Com sistemas endodônticos modernos e ampliação de imagem, removemos o tecido infectado e modelamos os canais com precisão. Técnicas avançadas de irrigação e desinfecção assistida por ultrassom garantem a eliminação completa de bactérias, preservando ao máximo a estrutura natural do dente.
3 – Selamento e Planejamento Restaurador.
Nem todo canal precisa de uma coroa.
Após selar os canais, avaliamos o tipo de restauração mais adequado. Em muitos casos, quando a estrutura do dente é suficiente, uma restauração direta em resina composta é ideal. Para dentes mais comprometidos, podemos utilizar um pino projetado por CAD/CAM para reconstrução interna antes da colocação de uma coroa, se necessário.
Pensando no Longo Prazo, em Cada Etapa
Nossa filosofia é centrada na durabilidade. Não colocamos coroas por padrão — analisamos função, estrutura e riscos futuros antes de decidir. Seja optando por um tratamento de canal ou por um implante, nossas escolhas são sempre baseadas no que oferece o melhor resultado a longo prazo, sem exageros ou tratamentos desnecessários. Cada plano é personalizado para a situação clínica específica, garantindo a preservação das opções futuras.
Projetado para Restaurar, Não Apenas Tratar
Do tratamento à recuperação completa.
O sucesso endodôntico não é medido apenas pelo que removemos, mas pelo desempenho do dente após o tratamento. Planejamos a restauração desde o início, assegurando que o dente volte a funcionar plenamente e esteja preparado para suportar futuros procedimentos restauradores, se necessário.
1 – Diagnóstico Preciso e Avaliação Digital Entendendo o quadro completo.
Iniciamos com um diagnóstico detalhado, utilizando imagens de alta resolução, tomografia computadorizada (CBCT) e testes de vitalidade. Esses recursos nos permitem confirmar a necessidade do tratamento de canal e avaliar a condição do dente, tanto em sua estrutura quanto em relação aos tratamentos adjacentes.
2 – Limpeza, Modelagem e Desinfecção
Minimamente invasivo. Completamente eficaz.
Com sistemas endodônticos modernos e ampliação de imagem, removemos o tecido infectado e modelamos os canais com precisão. Técnicas avançadas de irrigação e desinfecção assistida por ultrassom garantem a eliminação completa de bactérias, preservando ao máximo a estrutura natural do dente.
3 – Selamento e Planejamento Restaurador.
Nem todo canal precisa de uma coroa.
Após selar os canais, avaliamos o tipo de restauração mais adequado. Em muitos casos, quando a estrutura do dente é suficiente, uma restauração direta em resina composta é ideal. Para dentes mais comprometidos, podemos utilizar um pino projetado por CAD/CAM para reconstrução interna antes da colocação de uma coroa, se necessário.
Pensando no Longo Prazo, em Cada Etapa
Nossa filosofia é centrada na durabilidade. Não colocamos coroas por padrão — analisamos função, estrutura e riscos futuros antes de decidir. Seja optando por um tratamento de canal ou por um implante, nossas escolhas são sempre baseadas no que oferece o melhor resultado a longo prazo, sem exageros ou tratamentos desnecessários. Cada plano é personalizado para a situação clínica específica, garantindo a preservação das opções futuras.
Projetado para Restaurar, Não Apenas Tratar
Do tratamento à recuperação completa.
O sucesso endodôntico não é medido apenas pelo que removemos, mas pelo desempenho do dente após o tratamento. Planejamos a restauração desde o início, assegurando que o dente volte a funcionar plenamente e esteja preparado para suportar futuros procedimentos restauradores, se necessário.
TRATAMENTO DE CANAL
PERGUNTAS FREQUENTES
• Todo dente tratado com canal precisa de uma coroa?
Nem sempre. Quando o dente mantém uma estrutura saudável suficiente, uma restauração em resina composta pode ser o bastante. A coroa é recomendada apenas quando é necessário reforço adicional para garantir a funcionalidade a longo prazo.
• O tratamento é doloroso?
O tratamento de canal é realizado com anestesia local, sendo geralmente indolor. Técnicas modernas e equipamentos avançados minimizam qualquer desconforto, tanto durante quanto após o procedimento.
• Quanto tempo dura um dente tratado com canal?
Com uma restauração adequada e cuidados regulares, um dente tratado pode durar décadas. O sucesso depende do selamento correto, da higiene bucal e da qualidade da restauração final.
• Quais são os sinais de que posso precisar de um tratamento de canal?
Dor persistente, sensibilidade ao calor ou frio, inchaço, alteração na cor do dente ou o aparecimento de uma pequena espinha na gengiva podem indicar uma infecção no interior do dente.
• Qual é o custo do tratamento?
Os custos variam de acordo com o número de canais, a complexidade do caso e o tipo de restauração final. Após o diagnóstico, fornecemos um plano detalhado e personalizado para cada paciente.
Nem sempre. Quando o dente mantém uma estrutura saudável suficiente, uma restauração em resina composta pode ser o bastante. A coroa é recomendada apenas quando é necessário reforço adicional para garantir a funcionalidade a longo prazo.
• O tratamento é doloroso?
O tratamento de canal é realizado com anestesia local, sendo geralmente indolor. Técnicas modernas e equipamentos avançados minimizam qualquer desconforto, tanto durante quanto após o procedimento.
• Quanto tempo dura um dente tratado com canal?
Com uma restauração adequada e cuidados regulares, um dente tratado pode durar décadas. O sucesso depende do selamento correto, da higiene bucal e da qualidade da restauração final.
• Quais são os sinais de que posso precisar de um tratamento de canal?
Dor persistente, sensibilidade ao calor ou frio, inchaço, alteração na cor do dente ou o aparecimento de uma pequena espinha na gengiva podem indicar uma infecção no interior do dente.
• Qual é o custo do tratamento?
Os custos variam de acordo com o número de canais, a complexidade do caso e o tipo de restauração final. Após o diagnóstico, fornecemos um plano detalhado e personalizado para cada paciente.
RESTAURAÇÕES
EM RESINA
Funcionalidade, estética e preservação em perfeita harmonia.
Na Paiano Odontologia, as restaurações em resina vão além de simples reparos — são soluções cuidadosamente planejadas que combinam durabilidade, beleza natural e respeito pela estrutura do dente. Cada procedimento é pensado como parte de um plano maior, seja para uma pequena correção ou uma reabilitação completa, sempre com foco na mínima intervenção e resultados duradouros.
1. Diagnóstico Personalizado e Escolha do Material
Cada dente, uma solução única.
Nosso processo começa com um diagnóstico minucioso, analisando a extensão de cáries, fraturas ou desgastes, além das forças de mordida na região. Selecionamos o tipo de resina ideal com base na localização do dente, nas demandas estéticas e nas tensões que ele suporta, garantindo funcionalidade e longevidade.
2. Preparo Conservador do Dente
Preservar é a nossa prioridade.
Utilizamos magnificação através de lupas e microscópio e técnicas adesivas avançadas para remover apenas o tecido com cárie comprometido. Além disso as restaurações são executadas através de isolamento absoluto, um procedimento essencial para garantir maior longevidade às restaurações, afastando a umidade que vem da saliva, vapor da boca ou até mesmo sangue de encostar e contaminar a superfície dentária que deve receber o tratamento adesivo e da restauração.
3. Escultura e Acabamento com Precisão
Beleza que imita a natureza.
Com a técnica de camadas, reconstruímos a forma e as propriedades ópticas do dente natural. A restauração é esculpida diretamente na boca, em harmonia com os dentes vizinhos, e finalizada com polimento que garante uma integração perfeita, com textura e brilho semelhantes ao esmalte natural.
1. Diagnóstico Personalizado e Escolha do Material
Cada dente, uma solução única.
Nosso processo começa com um diagnóstico minucioso, analisando a extensão de cáries, fraturas ou desgastes, além das forças de mordida na região. Selecionamos o tipo de resina ideal com base na localização do dente, nas demandas estéticas e nas tensões que ele suporta, garantindo funcionalidade e longevidade.
2. Preparo Conservador do Dente
Preservar é a nossa prioridade.
Utilizamos magnificação através de lupas e microscópio e técnicas adesivas avançadas para remover apenas o tecido com cárie comprometido. Além disso as restaurações são executadas através de isolamento absoluto, um procedimento essencial para garantir maior longevidade às restaurações, afastando a umidade que vem da saliva, vapor da boca ou até mesmo sangue de encostar e contaminar a superfície dentária que deve receber o tratamento adesivo e da restauração.
3. Escultura e Acabamento com Precisão
Beleza que imita a natureza.
Com a técnica de camadas, reconstruímos a forma e as propriedades ópticas do dente natural. A restauração é esculpida diretamente na boca, em harmonia com os dentes vizinhos, e finalizada com polimento que garante uma integração perfeita, com textura e brilho semelhantes ao esmalte natural.
Estética que se Integra
Um sorriso que parece intocado.
Nosso objetivo é que a restauração seja imperceptível, como se o dente nunca tivesse sido danificado. Cada resina é cuidadosamente combinada à cor do dente, moldada com precisão anatômica e polida para refletir a luz e a textura do esmalte natural.
Foco na Funcionalidade
Mais do que beleza, durabilidade.
Uma restauração bonita, mas que não resiste ao tempo, não cumpre seu propósito. Por isso, avaliamos a distribuição de forças, os dentes opostos e os padrões de oclusão para garantir que a restauração funcione em perfeita sintonia com sua mordida, assegurando resistência e longevidade.
Valor a Longo Prazo
Pequenas intervenções, grandes resultados.
Embora muitas vezes vistas como procedimentos simples, as restaurações em resina exigem execução impecável para garantir sucesso duradouro. Quando bem feitas, elas previnem complicações futuras e reduzem a necessidade de tratamentos mais invasivos, oferecendo um impacto significativo para a saúde bucal.
RESTAURAÇÕES
PERGUNTAS FREQUENTES
As restaurações de resina composta são seguras?
Sim. Os compósitos modernos são compatíveis com o corpo, e utilizados com segurança em dentes da frente e também do fundo.
Elas parecem naturais?
Com certeza. Utilizamos materiais de alta qualidade e técnicas de aplicação em camadas para combinar com a cor, transparência e textura natural dos seus dentes.
Quanto tempo dura uma restauração de resina composta?
Com cuidados adequados, elas podem durar de 10 anos ou até mais. A durabilidade varia conforme o tamanho, a localização e a higiene bucal.
O procedimento é doloroso?
A maioria das restaurações de compósito é feita com anestesia local, sendo totalmente indolor. Restaurações pequenas podem nem precisar de anestesia.
Quando é necessário usar uma coroa em vez de resina composta?
Se o dente estiver muito enfraquecido ou com uma grande parte comprometida, uma coroa ou onlay/overlay pode oferecer maior proteção a longo prazo.
Sim. Os compósitos modernos são compatíveis com o corpo, e utilizados com segurança em dentes da frente e também do fundo.
Elas parecem naturais?
Com certeza. Utilizamos materiais de alta qualidade e técnicas de aplicação em camadas para combinar com a cor, transparência e textura natural dos seus dentes.
Quanto tempo dura uma restauração de resina composta?
Com cuidados adequados, elas podem durar de 10 anos ou até mais. A durabilidade varia conforme o tamanho, a localização e a higiene bucal.
O procedimento é doloroso?
A maioria das restaurações de compósito é feita com anestesia local, sendo totalmente indolor. Restaurações pequenas podem nem precisar de anestesia.
Quando é necessário usar uma coroa em vez de resina composta?
Se o dente estiver muito enfraquecido ou com uma grande parte comprometida, uma coroa ou onlay/overlay pode oferecer maior proteção a longo prazo.
TRATAMENTO
PERIODONTAL
Saúde começa pela base.
A saúde das gengivas e do osso é essencial para um sorriso estável e bonito. Na Paiano Odontologia, tratamos a doença periodontal como a base de um plano restaurador completo, integrando saúde, estética e tecnologia avançada.
Nossa Abordagem
A doença periodontal compromete gengivas e ossos, afetando a estabilidade até dos melhores tratamentos dentários. Na Paiano Odontologia, combinamos diagnóstico preciso, tratamentos minimamente invasivos e cuidados personalizados para garantir resultados duradouros, sempre alinhados ao seu plano geral de saúde bucal.
A saúde das gengivas e do osso é essencial para um sorriso estável e bonito. Na Paiano Odontologia, tratamos a doença periodontal como a base de um plano restaurador completo, integrando saúde, estética e tecnologia avançada.
Nossa Abordagem
A doença periodontal compromete gengivas e ossos, afetando a estabilidade até dos melhores tratamentos dentários. Na Paiano Odontologia, combinamos diagnóstico preciso, tratamentos minimamente invasivos e cuidados personalizados para garantir resultados duradouros, sempre alinhados ao seu plano geral de saúde bucal.
Etapas do Tratamento
1 – Diagnóstico e Mapeamento Digital
• Detecção precoce: Usamos escaneamentos 3D, tomografia computadorizada (CBCT) e sondas digitais para avaliar bolsas periodontais, perda óssea e inflamação.
• Planejamento preciso: Mapeamos a gravidade da doença para criar um plano integrado com outros tratamentos.
2 – Terapia Periodontal Ativa
• Minimamente invasiva: Realizamos raspagem e alisamento radicular, com apoio de ultrassom, para eliminar infecções sem traumas.
• Foco na saúde: Interrompemos a progressão da doença, preservando a estrutura dental.
3 – Regeneração e Recuperação Tecidual
• Reconstrução possível: Utilizamos biomateriais e técnicas de regeneração guiada para recuperar osso e gengiva em casos específicos.
• Base para implantes: Criamos uma fundação sólida para tratamentos futuros.
4. Manutenção e Monitoramento
• Prevenção contínua: Personalizamos programas de manutenção a cada 3-4 meses, com acompanhamento digital para garantir estabilidade. Nas manutenções utilizamos polimento dental com jato de glicina e água morna, com objetivo de tornar o processo indolor.
Orientação clara: Ensinamos técnicas de higiene para manter a saúde periodontal.
Benefícios do Nosso Tratamento
• Integração total: A saúde periodontal é a base para implantes, ortodontia e estética dental.
• Tecnologia avançada: Escaneamento intraoral, ultrassom com pontas delicadas, laser pós-operatório para precisão e conforto.
• Estética natural: Visamos devolver tecidos saudáveis para um sorriso harmonioso.
• Cuidado coordenado: Nossa equipe alinha todas as especialidades para resultados completos.
1 – Diagnóstico e Mapeamento Digital
• Detecção precoce: Usamos escaneamentos 3D, tomografia computadorizada (CBCT) e sondas digitais para avaliar bolsas periodontais, perda óssea e inflamação.
• Planejamento preciso: Mapeamos a gravidade da doença para criar um plano integrado com outros tratamentos.
2 – Terapia Periodontal Ativa
• Minimamente invasiva: Realizamos raspagem e alisamento radicular, com apoio de ultrassom, para eliminar infecções sem traumas.
• Foco na saúde: Interrompemos a progressão da doença, preservando a estrutura dental.
3 – Regeneração e Recuperação Tecidual
• Reconstrução possível: Utilizamos biomateriais e técnicas de regeneração guiada para recuperar osso e gengiva em casos específicos.
• Base para implantes: Criamos uma fundação sólida para tratamentos futuros.
4. Manutenção e Monitoramento
• Prevenção contínua: Personalizamos programas de manutenção a cada 3-4 meses, com acompanhamento digital para garantir estabilidade. Nas manutenções utilizamos polimento dental com jato de glicina e água morna, com objetivo de tornar o processo indolor.
Orientação clara: Ensinamos técnicas de higiene para manter a saúde periodontal.
Benefícios do Nosso Tratamento
• Integração total: A saúde periodontal é a base para implantes, ortodontia e estética dental.
• Tecnologia avançada: Escaneamento intraoral, ultrassom com pontas delicadas, laser pós-operatório para precisão e conforto.
• Estética natural: Visamos devolver tecidos saudáveis para um sorriso harmonioso.
• Cuidado coordenado: Nossa equipe alinha todas as especialidades para resultados completos.
TRATAMENTO PERIODONTAL
PERGUNTAS FREQUENTES
• O que é doença periodontal?
É uma inflamação que afeta gengivas e ossos, podendo causar sangramento, retração gengival e até perda dentária se não tratada.
• Como identificar a doença periodontal?
Sinais incluem sangramento ao escovar, mau hálito, gengivas retraídas ou dentes com mobilidade. Um exame clínico com imagens confirma o diagnóstico.
• O tratamento é doloroso?
Usamos técnicas minimamente invasivas com anestesia local, laser e ultrassom para maior conforto e recuperação rápida. O objetivo é que seja um tratamento confortável.
• É possível regenerar osso ou gengiva?
Sim, em alguns casos, com técnicas de regeneração guiada e enxertos, dependendo da gravidade.
• Preciso de cirurgia?
Nem sempre. Muitos casos são tratados com limpezas e manutenção. Cirurgias são reservadas para casos específicos.
• Com que frequência faço manutenção?
A cada 3-4 meses, conforme seu caso. Criaremos um plano personalizado para evitar recidivas e também para que as manutenções sejam confortáveis.
É uma inflamação que afeta gengivas e ossos, podendo causar sangramento, retração gengival e até perda dentária se não tratada.
• Como identificar a doença periodontal?
Sinais incluem sangramento ao escovar, mau hálito, gengivas retraídas ou dentes com mobilidade. Um exame clínico com imagens confirma o diagnóstico.
• O tratamento é doloroso?
Usamos técnicas minimamente invasivas com anestesia local, laser e ultrassom para maior conforto e recuperação rápida. O objetivo é que seja um tratamento confortável.
• É possível regenerar osso ou gengiva?
Sim, em alguns casos, com técnicas de regeneração guiada e enxertos, dependendo da gravidade.
• Preciso de cirurgia?
Nem sempre. Muitos casos são tratados com limpezas e manutenção. Cirurgias são reservadas para casos específicos.
• Com que frequência faço manutenção?
A cada 3-4 meses, conforme seu caso. Criaremos um plano personalizado para evitar recidivas e também para que as manutenções sejam confortáveis.
ENXERTO
DE GENGIVA
Saúde gengival e estética em harmonia.
O enxerto de tecido mole vai além de cobrir raízes ou engrossar gengivas. Na Paiano Odontologia, é uma intervenção personalizada que estabiliza os tecidos, melhora a estética e garante o sucesso de tratamentos restauradores a longo prazo. Cada enxerto é planejado com precisão, integrado ao seu plano geral de saúde bucal.
O enxerto de tecido mole vai além de cobrir raízes ou engrossar gengivas. Na Paiano Odontologia, é uma intervenção personalizada que estabiliza os tecidos, melhora a estética e garante o sucesso de tratamentos restauradores a longo prazo. Cada enxerto é planejado com precisão, integrado ao seu plano geral de saúde bucal.
ETAPAS DO ENXERTO DE TECIDO MOLE
1. Diagnóstico e Planejamento Digital
Precisão desde o início: Utilizamos fotos, escaneamentos 3D e imagens intra orais para avaliar perda de volume, qualidade do tecido e dinâmica do sorriso.
Planejamento integrado: O enxerto é coordenado com tratamentos ortodônticos, protéticos ou cirúrgicos, garantindo harmonia com o resultado final.
2. Técnica Cirúrgica Minimamente Invasiva
Precisão com conforto: Usamos instrumentos microcirúrgicos e magnificação para posicionar enxertos de tecido conjuntivo
Menos trauma, mais rapidez: Técnicas de tunelização ou sem retalhos aceleram a cicatrização e melhoram a vascularização.
3. Saúde e Estabilidade em Longo Prazo
Resultados duradouros: O enxerto fortalece os tecidos, reduz o risco de recessão gengival e mantém a estética do sorriso ao longo do tempo.
Cuidado contínuo: Oferecemos acompanhamento personalizado para garantir a saúde gengival.
BENEFÍCIOS DO ENXERTO DE TECIDO MOLE
• Estética natural: Gengivas saudáveis e contornos harmoniosos para um sorriso perfeito.
• Proteção dental: Reduz a exposição de raízes e previne recessão futura.
• Base para restaurações: Ideal para suportar implantes, facetas ou coroas.
• Tecnologia avançada: Escaneamentos 3D e técnicas minimamente invasivas para conforto e precisão.
1. Diagnóstico e Planejamento Digital
Precisão desde o início: Utilizamos fotos, escaneamentos 3D e imagens intra orais para avaliar perda de volume, qualidade do tecido e dinâmica do sorriso.
Planejamento integrado: O enxerto é coordenado com tratamentos ortodônticos, protéticos ou cirúrgicos, garantindo harmonia com o resultado final.
2. Técnica Cirúrgica Minimamente Invasiva
Precisão com conforto: Usamos instrumentos microcirúrgicos e magnificação para posicionar enxertos de tecido conjuntivo
Menos trauma, mais rapidez: Técnicas de tunelização ou sem retalhos aceleram a cicatrização e melhoram a vascularização.
3. Saúde e Estabilidade em Longo Prazo
Resultados duradouros: O enxerto fortalece os tecidos, reduz o risco de recessão gengival e mantém a estética do sorriso ao longo do tempo.
Cuidado contínuo: Oferecemos acompanhamento personalizado para garantir a saúde gengival.
BENEFÍCIOS DO ENXERTO DE TECIDO MOLE
• Estética natural: Gengivas saudáveis e contornos harmoniosos para um sorriso perfeito.
• Proteção dental: Reduz a exposição de raízes e previne recessão futura.
• Base para restaurações: Ideal para suportar implantes, facetas ou coroas.
• Tecnologia avançada: Escaneamentos 3D e técnicas minimamente invasivas para conforto e precisão.
ENXERTO DE GENGIVA
PERGUNTAS FREQUENTES
•O que é enxerto de tecido mole?
É um procedimento que adiciona tecido em áreas com recessão gengival ou perda de volume, melhorando estética, protegendo raízes e estabilizando gengivas.
• O procedimento é doloroso?
Não! Realizado com anestesia local, é bem tolerado. Técnicas minimamente invasivas e cuidados pós-operatórios reduzem o desconforto e aceleram a recuperação.
• De onde vem o tecido do enxerto?
Pode ser retirado do próprio paciente (geralmente do palato) ou usamos biomateriais biocompatíveis, dependendo do caso.
• Quanto tempo leva a cicatrização?
A cicatrização inicial ocorre em 1-2 semanas, com total integração em alguns meses. A maioria dos pacientes retoma atividades normais em poucos dias.
• Quando o enxerto é indicado?
É recomendado para recessão gengival, tecidos finos com risco de perda ou para suportar implantes e restaurações estéticas.
• Qual é o custo do enxerto?
O valor varia conforme o número de áreas tratadas, técnica e materiais utilizados. Forneceremos um plano detalhado após avaliação completa.
É um procedimento que adiciona tecido em áreas com recessão gengival ou perda de volume, melhorando estética, protegendo raízes e estabilizando gengivas.
• O procedimento é doloroso?
Não! Realizado com anestesia local, é bem tolerado. Técnicas minimamente invasivas e cuidados pós-operatórios reduzem o desconforto e aceleram a recuperação.
• De onde vem o tecido do enxerto?
Pode ser retirado do próprio paciente (geralmente do palato) ou usamos biomateriais biocompatíveis, dependendo do caso.
• Quanto tempo leva a cicatrização?
A cicatrização inicial ocorre em 1-2 semanas, com total integração em alguns meses. A maioria dos pacientes retoma atividades normais em poucos dias.
• Quando o enxerto é indicado?
É recomendado para recessão gengival, tecidos finos com risco de perda ou para suportar implantes e restaurações estéticas.
• Qual é o custo do enxerto?
O valor varia conforme o número de áreas tratadas, técnica e materiais utilizados. Forneceremos um plano detalhado após avaliação completa.
PREVENÇÃO ORAL,
PROFILAXIA E MANUTENÇÃO
Na Paiano Odontologia, a manutenção não é apenas um detalhe — é parte essencial do tratamento. Nossas sessões de higiene e acompanhamento são planejadas para prolongar a vida de seus dentes naturais e restaurações, seja você tenha uma única coroa ou uma reabilitação completa. A avaliação regular protege seu investimento e mantém sua saúde bucal em dia.
1. Limpeza Profissional e Controle de Biofilme
Na Paiano Odontologia, nossas sessões de higiene vão muito além de uma simples limpeza. Nosso foco é garantir a estabilidade clínica da sua saúde bucal, eliminando biofilme e tártaro para prevenir inflamações, doenças gengivais e complicações como a peri-implantite. Cada procedimento é cuidadosamente personalizado, considerando seu histórico de tratamentos, como implantes, facetas ou ortodontia. Utilizamos tecnologias avançadas para proporcionar uma experiência confortável e eficaz. A remoção de biofilme é feita com jato de glicina e água aquecida, garantindo suavidade e precisão. Para o tártaro, empregamos ultrassom com pontas delicadas em baixa potência, minimizando qualquer desconforto. Todo o processo é realizado com o auxílio de magnificação — lupas e iluminação especial — que nos permite eliminar completamente as impurezas, assegurando um resultado impecável e um cuidado que você sente.
2. Documentação Periódica e Comparação
Acompanhando o progresso. Identificando mudanças.
Em consultas específicas, registramos parâmetros importantes — fotos, medições de profundidade gengival e radiografias — criando uma linha do tempo da sua saúde bucal. Isso nos permite monitorar a estabilidade dos tecidos, desgastes e alterações de cor ao longo do tempo.
Prevenção como Continuidade
O cuidado não termina na entrega.
Muitos problemas, como desgaste, mobilidade ou perda tecidual, podem ser evitados com o acompanhamento correto. Não apenas reparamos — monitoramos, educamos e intervimos precocemente. A prevenção é a base de uma odontologia de alto nível.
Monitoramento Assistido por Tecnologia
Ferramentas digitais, cuidado humano.
Combinamos documentação digital com habilidades clínicas tradicionais para identificar sinais precoces de instabilidade. Fotos, escaneamentos e registros de mordida são atualizados regularmente para orientar decisões e personalizar o cuidado.
Na Paiano Odontologia, nossas sessões de higiene vão muito além de uma simples limpeza. Nosso foco é garantir a estabilidade clínica da sua saúde bucal, eliminando biofilme e tártaro para prevenir inflamações, doenças gengivais e complicações como a peri-implantite. Cada procedimento é cuidadosamente personalizado, considerando seu histórico de tratamentos, como implantes, facetas ou ortodontia. Utilizamos tecnologias avançadas para proporcionar uma experiência confortável e eficaz. A remoção de biofilme é feita com jato de glicina e água aquecida, garantindo suavidade e precisão. Para o tártaro, empregamos ultrassom com pontas delicadas em baixa potência, minimizando qualquer desconforto. Todo o processo é realizado com o auxílio de magnificação — lupas e iluminação especial — que nos permite eliminar completamente as impurezas, assegurando um resultado impecável e um cuidado que você sente.
2. Documentação Periódica e Comparação
Acompanhando o progresso. Identificando mudanças.
Em consultas específicas, registramos parâmetros importantes — fotos, medições de profundidade gengival e radiografias — criando uma linha do tempo da sua saúde bucal. Isso nos permite monitorar a estabilidade dos tecidos, desgastes e alterações de cor ao longo do tempo.
Prevenção como Continuidade
O cuidado não termina na entrega.
Muitos problemas, como desgaste, mobilidade ou perda tecidual, podem ser evitados com o acompanhamento correto. Não apenas reparamos — monitoramos, educamos e intervimos precocemente. A prevenção é a base de uma odontologia de alto nível.
Monitoramento Assistido por Tecnologia
Ferramentas digitais, cuidado humano.
Combinamos documentação digital com habilidades clínicas tradicionais para identificar sinais precoces de instabilidade. Fotos, escaneamentos e registros de mordida são atualizados regularmente para orientar decisões e personalizar o cuidado.
HIGIENE E MANUTENÇÃO
PERGUNTAS FREQUENTES
• Com que frequência devo fazer consultas de higiene?
Depende do seu caso. A maioria dos pacientes se beneficia de duas visitas por ano, mas se você tem implantes, restaurações ou histórico de doença periodontal, sessões mais frequentes podem ser recomendadas.
• Por que a documentação é importante nas consultas?
Acompanhar mudanças ao longo do tempo ajuda a identificar problemas antes que se tornem graves. Isso também garante que suas restaurações, como facetas ou implantes, continuem funcionando bem.
• As restaurações precisam ser substituídas regularmente?
Não necessariamente. Com cuidados adequados e avaliações periódicas, muitas restaurações duram décadas. Nosso objetivo é manter, não substituir, o que já está funcionando.
• O que posso fazer em casa para manter os resultados?
Escove e use fio dental regularmente, utilize ferramentas recomendadas, como irrigadores bucais ou escovas interdentais, e siga as orientações de dieta e higiene fornecidas pela nossa equipe.
• É seguro limpar ao redor de implantes e facetas?
Sim. Utilizamos instrumentos e técnicas especializadas para diferentes tipos de restaurações. Cada sessão de higiene é adaptada às suas necessidades específicas.
Depende do seu caso. A maioria dos pacientes se beneficia de duas visitas por ano, mas se você tem implantes, restaurações ou histórico de doença periodontal, sessões mais frequentes podem ser recomendadas.
• Por que a documentação é importante nas consultas?
Acompanhar mudanças ao longo do tempo ajuda a identificar problemas antes que se tornem graves. Isso também garante que suas restaurações, como facetas ou implantes, continuem funcionando bem.
• As restaurações precisam ser substituídas regularmente?
Não necessariamente. Com cuidados adequados e avaliações periódicas, muitas restaurações duram décadas. Nosso objetivo é manter, não substituir, o que já está funcionando.
• O que posso fazer em casa para manter os resultados?
Escove e use fio dental regularmente, utilize ferramentas recomendadas, como irrigadores bucais ou escovas interdentais, e siga as orientações de dieta e higiene fornecidas pela nossa equipe.
• É seguro limpar ao redor de implantes e facetas?
Sim. Utilizamos instrumentos e técnicas especializadas para diferentes tipos de restaurações. Cada sessão de higiene é adaptada às suas necessidades específicas.
CLAREAMENTO
DENTAL
Ilumine seu sorriso, preservando sua essência.
O clareamento dentário é uma das formas mais suaves de realçar a beleza do seu sorriso. Na Paiano Odontologia, não o tratamos como uma solução genérica, mas como uma etapa cuidadosamente planejada dentro do seu plano estético. Seja como um procedimento independente ou combinado com outros tratamentos, o clareamento traz mais brilho ao seu sorriso sem alterar a forma natural dos dentes.
1. Diagnóstico e Planejamento Personalizado
Um clareamento feito para você.
Começamos avaliando a causa da descoloração, a sensibilidade dentária e o tipo de manchas presentes. Essa análise detalhada nos permite confirmar se o clareamento será eficaz e definir o melhor método — em casa, no consultório ou combinado — de acordo com seus objetivos e a saúde dos seus dentes.
2. Protocolo de Clareamento
Seguro, controlado e preciso.
Utilizamos produtos clareadores de alta qualidade e técnicas personalizadas, como moldeiras sob medida ou aplicações no consultório, para garantir resultados uniformes com o mínimo de sensibilidade. Todo o processo é monitorado por nossa equipe para garantir seu conforto e resultado.
3. Manutenção e Integração Estética
Um sorriso que harmoniza com você.
Avaliamos o tom final do clareamento considerando o design completo do seu sorriso. Frequentemente, o clareamento é realizado antes da colocação de facetas, coroas ou restaurações em resina, garantindo que os dentes naturais combinem harmoniosamente com os restaurados, para um resultado integrado e natural.
Um clareamento feito para você.
Começamos avaliando a causa da descoloração, a sensibilidade dentária e o tipo de manchas presentes. Essa análise detalhada nos permite confirmar se o clareamento será eficaz e definir o melhor método — em casa, no consultório ou combinado — de acordo com seus objetivos e a saúde dos seus dentes.
2. Protocolo de Clareamento
Seguro, controlado e preciso.
Utilizamos produtos clareadores de alta qualidade e técnicas personalizadas, como moldeiras sob medida ou aplicações no consultório, para garantir resultados uniformes com o mínimo de sensibilidade. Todo o processo é monitorado por nossa equipe para garantir seu conforto e resultado.
3. Manutenção e Integração Estética
Um sorriso que harmoniza com você.
Avaliamos o tom final do clareamento considerando o design completo do seu sorriso. Frequentemente, o clareamento é realizado antes da colocação de facetas, coroas ou restaurações em resina, garantindo que os dentes naturais combinem harmoniosamente com os restaurados, para um resultado integrado e natural.
CLAREAMENTO DENTÁRIO
PERGUNTAS FREQUENTES
• O clareamento é seguro para o esmalte?
Sim. Quando realizado por profissionais, o clareamento não danifica o esmalte. Avaliamos os fatores de risco de cada paciente e personalizamos o protocolo para máxima segurança.
• Quanto tempo duram os resultados?
Os resultados podem durar de meses a alguns anos, dependendo da dieta, hábitos de higiene e estilo de vida. Retoques ocasionais ajudam a manter o brilho.
• O clareamento causa sensibilidade?
Alguns pacientes podem sentir uma sensibilidade temporária, geralmente leve e passageira. Adaptamos o protocolo para minimizar qualquer desconforto.
• Todos os dentes podem ser clareados?
Dentes naturais respondem bem ao clareamento. Coroas, facetas ou restaurações em resina não mudam de cor, por isso planejamos o clareamento considerando futuras restaurações, quando necessário.
• Devo clarear antes ou depois de facetas ou coroas?
A escolha do tom é parte de uma estratégia integrada. Preferencialmente o clareamento é feito antes das restaurações, dependendo do plano de tratamento. O importante é planejar quais dentes serão clareados e quais serão restaurados, garantindo um sorriso natural e estável ao longo do tempo.
Sim. Quando realizado por profissionais, o clareamento não danifica o esmalte. Avaliamos os fatores de risco de cada paciente e personalizamos o protocolo para máxima segurança.
• Quanto tempo duram os resultados?
Os resultados podem durar de meses a alguns anos, dependendo da dieta, hábitos de higiene e estilo de vida. Retoques ocasionais ajudam a manter o brilho.
• O clareamento causa sensibilidade?
Alguns pacientes podem sentir uma sensibilidade temporária, geralmente leve e passageira. Adaptamos o protocolo para minimizar qualquer desconforto.
• Todos os dentes podem ser clareados?
Dentes naturais respondem bem ao clareamento. Coroas, facetas ou restaurações em resina não mudam de cor, por isso planejamos o clareamento considerando futuras restaurações, quando necessário.
• Devo clarear antes ou depois de facetas ou coroas?
A escolha do tom é parte de uma estratégia integrada. Preferencialmente o clareamento é feito antes das restaurações, dependendo do plano de tratamento. O importante é planejar quais dentes serão clareados e quais serão restaurados, garantindo um sorriso natural e estável ao longo do tempo.